ВРЕД ФТОРА ДЛЯ ЧЕЛОВЕЧЕСКОГО ОРГАНИЗМА
Избыток фтора в организме человека может привести к развитию множества негативных реакций со стороны различных систем.
- Фтор обладает нейротоксическим действием, особенно выраженным у маленьких детей. Его переизбыток может вызвать нарушение речевых способностей, значительно снизить способности к обучению иностранным языкам, математике, повлиять на память.
- Одной из причин изменения гормонального фона является высокое содержание фтора в употребляемых продуктах, воде и гигиенических средствах. Ионы фтора накапливаются в тканях щитовидной железы, что нарушает синтез тиреоидных гормонов и снижение уровня тестостерона, что может стать причиной развития многих отклонений, в том числе и бесплодия.
- Переизбыток фтора единственная причина развития флюороза, который имеет две формы проявления:
- со стороны зубочелюстной системы заболевание проявляется развитием так называемой пятнистой зубной эмали;
- костная ткань пораженная флюорозом становится хрупкой в результате чрезмерной минерализации и нарушения баланса между органическими и неорганическими соединениями, подобная патология увеличивает риск переломов и повышает подвижность суставов.
4. Некоторые ученые придерживаются теории согласно которой в высокой концентрации ионы фтора являются канцерогенными веществами.
При выборе средств для гигиены ротовой полости, в частности зубных паст с фтором, не стоит забывать о том, что ежедневно в организм попадает некоторое количество этого вещества из фторированной воды; продуктов питания, приготовленных на ней; овощей и фруктов. В регионах с высоким содержанием фтора в воде использование зубных паст с фтором для профилактики кариеса не рекомендуется.
Недостаток фтора
Если фтор с пищей или водой поступает в недостаточном количестве, развивается дефицит микроэлемента, опасный для организма, — это один из основных факторов риска развития кариеса .
Критически важны источники фтора для зубов ребёнка. Дело в том, что у детей младше 6 лет этот микроэлемент участвует в формировании эмали постоянных зубов, делая их более устойчивыми к действию бактерий и кислот в пище . Нехватка фтора в раннем возрасте в будущем может привести к :
- позднему прорезыванию зубов;
- потемнению эмали;
- кариесу.
По некоторым данным, от недостаточного поступления фторидов с водой или питанием страдают 2 из 3 россиян .
Как образуется кариес?
Наши зубы покрыты биопленкой, более распространенное обозначение – зубным налетом. Это родной дом для миллионов микроорганизмов. Они очень радуются, когда мы употребляем в пищу углеводы и в особенности сахар, который они усваивают и при этом выделяют кислоту, в результате pH в полости рта падает. Что же означает падающий pH для наших зубов? Ровным счетом то же самое, что происходит с накипью (карбонатом кальция) на кухонном кране: она коварна тем, что не растворяется водой. НО! Не в том случае если мы обрабатываем накипь кислыми средствами, например, уксусом или лимонной кислотой. От их низкого pH минерал растворяется!
То же самое происходит с нашими зубами, что приводит к образованию дырки в зубе – вуаля! Кариес!
Кариес означает, что наши зубы начинают растворяться. Можно также сказать, что происходит — ДЕМИНЕРАЛИЗАЦИЯ. Значит, как мы можем побороть кариес? При помощи РЕМИНЕРАЛИЗАЦИИ! Все логично и просто!
Отравление веществом – симптомы
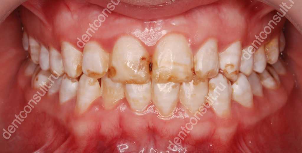
Достаточное, но не избыточное поступление этого вещества в организм способствует укреплению эмали и улучшению состояния зубов. Тем не менее, передозировка может причинить серьезный урон. Обычно в таких случаях говорят о развитии флюороза. Среди наиболее частых разновидностей данной патологии эксперты в области стоматологии выделяют пятнистую, штриховую, меловидно-крапчатую, эрозивную и деструктивную формы. Рассмотрим их чуть подробнее:
- пятнистая – предполагает образование на эмали небольших светлых пятнышек, которые могут сливаться между собой, образуя одно крупное пятно,
- штриховая – на резцах проступают светлые полоски разной формы, которые также могут объединяться, образуя достаточно крупные штрихи,
- меловидно-крапчатая – поверхность зубов становится матовой и желтоватой, в то время как на ее поверхности появляется множество точек и пятнышек. Отмечается патологическая стираемость эмали, из-за чего начинает проступать темный цвет дентина,
- эрозивная – приводит к образованию многочисленных крапинок, но прежде всего поражает жевательную поверхность зубов,
- деструктивная – зубные ткани становятся хрупкими, быстро разрушаются.
На фото показан флюороз зубов
Переизбыток фтора в организме также сказывается на состоянии костной системы. Одним из возможных осложнений является остеопороз, при котором кости становятся мягкими, из них быстро вымывается кальций. Происходят патологические изменения в суставах, из-за чего развивается анкилоз. В запущенных случаях страдают печень и почки.
Что такое фторирование зубов?
Фторированием называют процесс насыщения фтористыми соединениями твердые ткани зубов. Осуществляется это за счет нанесения специальных средств на зубную эмаль. Процедура применима как для молочных, так и для коренных зубов и оказывает исключительно благотворное воздействие.
При нанесении средства происходит выделение ионов фтора и при контакте с зубной поверхностью происходит образование фторидов кальция. Это обеспечивает укрепление зубной эмали и защиту от кариозного воздействия и разрушения структуры зуба.
Нужно знать! Фтор необходим человеческому организму, в частности зубам. Достаточное количество фтора в твердых тканях зубов способствует снижению проницаемости эмали, способствует задержке кальция.
Ежедневная норма фтора должна быть не ниже 3 мг., но из-за некачественных продуктов питания и плохой экологии это зачастую затруднительно.
Нехватка фтора приводит к ослаблению барьерной функции эмали и последующему возникновению кариеса. Фторирование помогает восполнить недостаток элемента и повысить сопротивляемость эмали к внешним факторам.
Переизбыток фтора не менее опасен, чем его недостаток
Переизбыток этого микроэлемента приводит к развитию флюороза и может негативно сказаться на здоровье в целом.
Рассказывает стоматолог-терапевт Марина Колесниченко: «Некоторые исследователи утверждают, что употребление фторированной воды повышает абсорбцию алюминия в мозге крыс, что связывают с развитием болезни Альцгеймера и слабоумия. Результаты были опубликованы в журнале Behavioral Brain Research. А в журнале The New England Journal of Medicine and Journal of Bone and Mineral Research были напечатаны данные о том, что высокие дозы фторидов повышают массу костей, что провоцирует частые их переломы. Кроме того, в декабре 2000 года в журнале Neurotoxicology было опубликовано исследование, показывающее повышение количества ртути в крови детей, принимающих фторированную воду в терапевтических дозах».
Стоматолог-терапевт Роза Байбурцян: «Фтор полезен в небольших количествах и помогает бороться с кариесом, но его избыток необратимо нарушает обменные процессы в костной ткани. Первыми начинают страдать именно зубы, появляется флюороз (белесые пятна на эмали). Если не прекратить поступление фтора, начинают страдать кости, становясь хрупкими и ломкими. Запускаются клеточные мутации и увеличивается риск возникновения онкологических заболеваний. Также ученые полагают, что негативное воздействие фторидов касается и детей, у которых могут возникнуть нарушения умственного развития».
Клинические исследования
Проведенные клинические исследования доказали, что регулярное применение профессиональной зубной пасты АСЕПТА РЕМИНЕРАЛИЗАЦИЯ уже через 4 недели улучшило состояние эмали на 64% и снизило чувствительность зубов на 66%.
-
Отчет по определению/подтверждению профилактических свойств средств индивидуальной гигиены полости рта «АСЕПТА PLUS» Реминерализация
врач-исследователь А.А. Леонтьев, зав. кафедрой профилактической стоматологии, д.м.н., профессор С.Б. Улитовский
Первый Санкт-Петербургский государственный медицинский университет им. акад. И.П. Павлова, кафедра профилактической стоматологии -
Изучение клинической эффективности лечебно-профилактических средств линии «Асепта» при лечении воспалительных заболеваний пародонта (А.И.Грудянов, И.Ю. Александровская, В.Ю. Корзунина)
А.И. ГРУДЯНОВ, д.м.н., проф., руководитель отделения И.Ю. АЛЕКСАНДРОВСКАЯ, к.м.н. В.Ю. КОРЗУНИНА, асп.
Отделение пародонтологии ЦНИИС и ЧЛХ Росмедтехнологий, г. Москва -
Клинические исследования антисенситивной зубной пасты «Асепта Сенситив» ( А.А. Леонтьев, О.В. Калинина, С.Б. Улитовский )
А.А. ЛЕОНТЬЕВ, врач-стоматолог О.В. КАЛИНИНА, врач-стоматолог С.Б. УЛИТОВСКИЙ, д.м.н., проф.
Кафедра терапевтической стоматологии СПбГМУ им. акад. И.П. Павлова
Фторирование зубов в домашних условиях
Препараты фтора отпускаются в аптеке без рецепта. Их можно приобрести для самостоятельного применения в домашних условиях.
Хорошо себя зарекомендовал препарат Фторлак – лекарственное средство для местного применения и профилактики кариеса. Его используют согласно инструкции производителя. Но проблема в том, что Фторлак эффективен только в случае тщательного удаления зубного налета и отложений – т.е. после проведения профессиональной чистки зубов. Поэтому избежать посещения стоматолога не получится.
Еще один вариант домашнего фторирования – использование фторсодержащих зубных паст. Их регулярное применение позволяет компенсировать дефицит фтора и насытить эмаль необходимым элементом.
Важно! Не рекомендуется использовать фторсодержащие зубные пасты на постоянной основе. Их регулярное применение может привести к переизбытку фтора в организме
Использовав один вид пасты, ее лучше заменить средством с другим составом.
В стоматологии
Нужно обязательно знать различия между потреблением фтора и применение фторидов. Лишь местное применение фторидов может локализовать образование кариеса. Но, несмотря на это, фториды препятствуют укреплению эмали, которое заканчивается после полного формирования зубов. Все это время минерализация зубов способна нарушиться из-за воздействия фторидов, что является причиной повреждений эмали. В тех странах, в которых в питьевую воду добавляют фтор, у людей эмаль слишком пористая и на зубах появляются белые пятна. Зубная паста с содержанием фторидов образует на эмали тонкий защитный слой, который защищает зубы от кариеса. Существует один запрет на фторсодержащие зубные пасты – это не использовать их во время беременности и кормления грудью.
При покупке зубной пасты следует прочитать, в каком соединении присутствует фтор в составе. Самым эффективным соединением, которое помогает избежать кариеса – это фторид натрия и аминофторид. Лучше всего приобретать пасты, содержащие данные компоненты. Если при чистке зубов человек не будет проглатывать пасту, то фтор не проникнет в кровь. Он остается только на эмали и защитит зубы. Поэтому для взрослых зубные пасты с фтором безопасны.
В единичных случаях он может навредить зубам – это образовав флюороз зубов. Данное заболевание появляется у детей и встречается в тех странах, где в питьевой воде содержание вещества превышено.
Соединения фтора, входящие в состав зубных паст.
Как один из первых фторсодержащих агентов в зубных пастах следует отметить фторид олова — основное составляющее системы SnF2 — Crest с Fluoristan (Procter&Gamble), впервые одобренной ADA как предупреждающей кариес зубной пасты.В качестве фтористых соединений в составе зубных паст также использовались фтористый калий, фторцирконий, тетрафтор титана, цинксодер-жащие фториды, фторсиликат магния, фтористый магний, натриевая соль фтористого олова, фторметаллит алюминия, аминофторид серебра, фторфенилгуанидогексан, фторгидрат никотиновой кислоты, цетилами-ногидрофторид, фторинол — фторгидрат никометанола, хорошо фиксирующийся на зубах. В качестве естественного источника фтора в зубной пасте предлагалось использовать пыль зеленого чая.
В настоящее время наиболее часто используются:
- натрия фторид,
- натрия монофторфосфат,
- аминофториды.
Все эти вещества хорошо растворимы, легко диссоциируют на ионы, стабильны в водном растворе, не окрашивают деминерализованные зоны эмали.Препараты фтора обладают способностью вступать в реакцию с другими компонентами зубных паст. При этом фтор может связываться с образованием труднорастворимого соединения и терять свою активность, то есть способность переходить в ионизированное состояние. Поэтому фториды часто вводят в состав гигиенических зубных средств вместе со стабилизаторами — веществами с большей способностью вступать в химические реакции с компонентами зубных паст, препятствующие необратимому связыванию фтора (фитиновая кислота и ее соли, лимонная кислота и ее соли, моно-, ди- и трикарбоновые кислоты, фосфат магния, сульфатированные полимеры, хлористый стронций, салицилат цинка).С фторидами хорошо взаимодействуют ферменты: лизоцим, декстрана-за, мутаназа. Натрия хлорид повышает активность вводимого фтора.Фторсодержащие зубные пасты особенно эффективны при назначении их лицам (особенно детям) с декомпенсированными формами течения кариеса, наличием очагов деминерализации эмали зубов, поражений твердых тканей зубов некариозного генеза. Показаны также при незавершенной вторичной минерализации (сразу после прорезывания зубов), массивных отложениях неминерализованного зубного налета, наличии общих и местных кариесогенных факторов.
Если вы нашли ошибку, пожалуйста, выделите фрагмент текста и удерживая ЛЕВЫЙ Ctrl, нажмите Enter. Вы можете отправить не более 5 сообщений за 30 минут!
Пасты для снижения чувствительности зубов (гиперестезии)
Подходящий выбор для всех, кто испытывает большой дискомфорт от употребления холодной и горячей пищи, сладкого и кислого. Такие пасты также рекомендуют при патологической стираемости эмали, клиновидном дефекте и микротрещинах.
Средства от гиперестезии отличаются высокой концентрацией фтора и калия, и, одновременно, небольшим количеством абразивных веществ. Для чистки такой пастой нужно использовать мягкую щетку, так как иначе вы значительно уменьшите позитивный эффект.
Также необходимо помнить, что долго чистить зубы пастой от гиперестезии не стоит. Она плохо счищает мягкий налет. А его накопление со временем может привести к образованию зубного камня и другим проблемам. Поэтому, когда острые симптомы исчезнут, замените такую пасту на обычную гигиеническую.
Можно ли использовать детям
Выбирая средство для детских зубов, важно править оценить возможные риски – больше пользы или вреда оно принесет в вашем конкретном случае. А для этого сперва стоит показать ребенка стоматологу и проконсультироваться с ним по поводу покупки наиболее подходящей пасты
Также нужно учитывать, что большинство маленьких детишек глотают часть пасты во время чистки, а это может спровоцировать нежелательные последствия, в том числе расстройство желудка и кишечника. Так, концентрация компонента не должна превышать 1500 ppm – вот как будет обозначен данный показатель на упаковке, указывающий на то, сколько вещества содержится в этой пасте.
Для ребенка нужно выбирать только детскую зубную пасту
Однако современные производители также выпускают довольно эффективную и безопасную продукцию со фтором для детей, которая обеспечивает отличную профилактику детского кариеса. Но пользоваться ей можно только курсами и по показаниям детского стоматолога.
Виды фторирования
Существует два метода обработки зубов фтором – поверхностное и глубокое фторирование.
- Поверхностное (простое) фторирование – покрытие видимой поверхности зуба фторсодержащим лаком. Процедура напоминает нанесение маникюрного лака. Для достижения максимального эффекта насыщения эмали фтором, ее повторяют несколько раз. Альтернативный вариант простого фторирования – использование кап, наполненных фторсодержащим препаратом. Капы надевают на верхний и нижний ряд зубов и держат в течение 10 — 15 минут. Спустя несколько дней процедуру повторяют.
- Глубокое фторирование – метод предполагает использование эмаль-запечатывающего препарата с высоким содержанием фтора. Его наносят на поверхность зубов и выдерживают несколько минут. После этого полость рта просушивают, а эмаль обрабатывают специальной щелочной жидкостью. Происходящая в этот момент реакция приводит к образованию соединений фтора, которые сохраняются в зубной эмали на протяжении 12 – 18 месяцев.
Важно! Глубокое фторирование проводится только в стоматологии, под непосредственным контролем специалиста. Данный метод в 5 раз эффективнее по сравнению с поверхностной обработкой.. Более подробную информацию о процедуре фторирования эмали вы можете узнать на нашем сайте
Более подробную информацию о процедуре фторирования эмали вы можете узнать на нашем сайте.
Гидроксилапатит или фториды?
Например, возьмем продукт из рекламы. В нем речь идет о восстановлении зубной эмали
Вместо фторидов применяется гидроксилапатит (совершенно не важно, нано не нано, биоапатит – все это разные названия, суть не меняется), материал из которого состоит зубная эмаль. Чистить зубы зубной эмалью – звучит очень логично! Если кариес – это разрушение эмали, то нужно просто добавить эмаль! Банально просто, зачем усложнять все в этом мире?! Логично! Но если мы посмотрим на график, то все это окажется совершенно нелогичным!
При pH5 начинает разрушаться гидроксилапатит. В таком случае, каков смысл добавлять гидроксилапатит, который все равно опять разрушится?! Тоже логично. И как быть?
Фтор в пастах — добро или зло?
Все хорошо в меру. Выбирая зубную пасту лучше опираться не на рекламу, а отталкиваться от объективных данных, например, количества фтора в питьевой воде и наличия диагноза флюороз. При недостаточном содержании фторида натрия в пище и воде, необходимо обеспечить его дополнительное поступление в организм.
Cтоматолог-терапевт Наталья Романова: «При нормальной концентрации фтора в воде, использование паст с его содержанием оправдано и полезно, особенно необходимо при определенных показаниях. Поэтому не стоит слушать маркетологов, переплачивать за бренд и стремиться использовать средства гигиены без фторидов. Всё подбирается индивидуально. Во время визита к стоматологу врач подберет необходимые средства гигиены и даст рекомендации о дозировке».
«Пасты, содержащие фтор, относятся к классу лечебно-профилактических, поэтому не рекомендуется пользоваться ими постоянно. Лучше всего комбинировать их с другими типами паст, например, гигиеническими и органическими. Идеальный вариант — попросить вашего стоматолога подобрать для вас комплекс паст, исходя из состояния ваших зубов и десен», — рассуждает врач-стоматолог Евгения Малыхина.
Как фтор используется в стоматологии?
В современной стоматологии фтор активно применяется в виде фторидов, безлопастных для человека соединений фтора с другими элементами. Они способствуют предотвращению кариозных процессов на зубах. Фториды, взаимодействуя с эмалью зубов, образуют соединения, препятствующие проникновению кислот в более уязвимые слои зуба. Так же создается среда, негативная для развития микробов, восстанавливается обмен белков и минералов в костях и зубах. Для профилактики кариеса стоматологи рекомендуют фторированную воду, полоскания раствором фторидов, использование зубной пасты с фтором, нанесение на зубы гелей, покрытие зубов фтор-лаком, прием препаратов в виде таблеток. Все рекомендации назначаются в индивидуальном порядке в зависимости от состояния среды проживания пациента и его здоровья.

При глубоком фторировании зубы полностью просушиваются, изолируется слизистая оболочка. Препарат втирается в зубы массирующими движениями и остается на несколько минут. При глубокой обработке зубы насыщаются микроэлементами и минералами. При этом перед фторированием необходимо провести чистку зубов и удалить весь зубной камень.
1 SATO ACESS
Большое преимущество данной пасты в том, что она не содержит отбеливающих компонентов и максимально бережно ухаживает за зубами. Помимо обычной чистки она эффективна в лечении пародонтоза. В состав пасты вошли концентрированные экстракты ромашки и корня ратании. Они эффективно борются с любыми бактериями, снижают кровоточивость десен и оказывают слегка вяжущее воздействие. Паста также применяется при отечности и гнойных очагах. Объем упаковки составляет 120 мл.
По отзывам покупателей, уже через несколько применений зубной пасты SATO Acess десна перестают кровоточить, исчезает зуд и активно снимается краснота. Зубы и десна приобретают здоровый вид, а после полного выздоровления исчезает неприятный запах.
Польза и вред фтора в зубной пасте
Что такое фториды
Фториды являются твердым соединением фтора или, другими словами, соль фтористоводородной кислоты. В любой питьевое воде есть фтор, но он не превышает опасную отметку. В некоторых странах его даже добавляют в соль и другие продукты. Но ученые предупреждают, чтобы доза содержания фтора в продуктах не превышала 0,005, иначе это опасно для детей младше 12 лет. Фториды способны вызвать отравление, ведь это токсичное вещество и если превысить его дозу, то организм почувствует сильную нагрузку, здоровье ухудшается, и начинают прогрессировать хронические заболевания.
Продукты с содержанием фтора
Это вещество содержится в следующих продуктах:
- скумбрия, сельдь, креветки, треска, морская капуста и икра;
- черный и зеленый чай;
- хлеб грубого помола, овсянка, рис;
- пресноводная рыба;
- молоко, куриное мясо, яйца, печень;
- яблоки, грейпфрут, шпинат и лук.
Особенности применения зубной пасты без фтора
При отсутствии фторсодержащих компонентов кислотная среда оказывает повышенное разрушающее действие. Поэтому нужно предпринимать дополнительные меры, чтобы сгладить их влияние. Дадим несколько рекомендаций.
Главное правило – гигиена полости рта каждый раз после еды. После приема пищи во рту начинают размножаться микроорганизмы. Это значит, что их нужно удалить. При этом лучше выбирать пасты с присутствием в рецептуре ксилита или ксилитола. Благодаря этому снижается риск появления кариеса.
Наиболее агрессивно на зубы действуют продукты с содержанием сахара. Они берут на себя кальций и делают эмаль тоньше. Поэтому поедание сладостей нужно свести к минимуму.
Эффективным считается уход за полостью рта в течение минимум трех минут. Если речь идет о детях, это правило соблюдается крайне редко. Чтобы на поверхности зубов не оставалось микробов, нужно тщательно удалять все частички пищи и налет. При этом следить за соблюдением гигиены детьми.
Как вывести избыток вещества из организма
Существуют методики, позволяющие вывести лишний фтор из организма, но они дают нужный результат только в том случае, если патология находится на начальных этапах своего развития. Вот основные способы борьбы с интоксикацией данный элементом:
- йод – способствует выведению вещества с мочой, поэтому рекомендуется увеличить потребление продуктов, богатых данным компонентом: клубника, брусника, фасоль, картофель,
- бор – также эффективно выводит фтор и в высокой концентрации содержится в меде, орехах, финиках, авокадо, черносливе,
- селен – блокирует активность избыточного элемента, в достаточном объеме содержится в бразильских орехах,
- сухая сауна – помогает вывести скопившиеся токсичные вещества через потоотделение.
Употребление йодосодержащих продуктов способствует выведению вещества из организма
Но прежде чем переходить к мероприятиям по выведению вещества, необходимо ограничить его поступление в организм. На время придется отказаться от продуктов с его высоким содержанием, перейти на чистую бутилированную воду, прекратить использовать фторосодержащие средства гигиены.
Сколько фтора необходимо человеку и в каких продуктах он содержится
Суточная доза фтора, необходимая для взрослого человека – 0,03 мг/кг. Детский организм в период формирования и роста скелета нуждается в большем количестве – 0,15-0,1 мг/кг.
Получить микроэлемент можно из продуктов питания, которые присутствуют в ежедневном рационе:
- рыба (лучший источник скумбрия, минтай, треска);
- все виды мяса и субпродукты;
- молочные продукты;
- сырые орехи: грецкий, кешью, фундук;
- фрукты и овощи (тыква, грейпфрут, яблоко);
- грибы (белые, лисички).
Сбалансированный рацион позволяет получить фториды из продуктов питания, которые всегда есть в холодильнике.
Рекомендации для регионов России: зубная паста без фтора
Проблема содержания соединений фтора в питьевой воде или иных продуктах питания стоит довольно остро по той причине, что эти соединения довольно легко усваиваются человеческим организмом. Однако парадокс данного явления заключается в том, что как правило, его содержание в организме человека находится в граничных пределах, что существенно влияет на процессы обмена в костных тканях и особенно это затрагивает зубы. Ведь недостаток фтора приводит к такому неприятному заболеванию полости рта как кариес, а хотя бы небольшой избыток этого компонента способствует флюрозу. С учётом этого зубная паста с небольшим содержанием фтора категорически противопоказана в случаях избыточного содержания этого элемента в окружающей среде.

При этом стоит помнить, что по данным полученным региональными санитарно-эпидемиологическими службами повышенное содержание фтора наблюдается на таких территориях Российской Федерации, как Западная Сибирь, Урал, а так же некоторые районы Московской области, Твери и Тамбовской области. А данные по фактическому содержанию фтора в этих районах являются открытыми и должны использоваться при выборе тех или иных гигиенических препаратов применяемых при санации ротовой полости. В частности это касается такого момента, когда мы выбираем зубные пасты.
Соединения фтора в современных зубных пастах
Фтор – важный элемент пасты, но не каждая фторированная зубная паста полезна для зубов
При выборе средства обращайте внимание на состав:
- Фторид олова. Соединение оказывает высокое реминерализирующее воздействие на эмаль, но при этом имеет побочные явления: потемнение эмали, изменение цвета пломб, ухудшение состояния десен. Производители качественных зубных паст не используют данное соединение (среди известных марок Colgate продолжает использовать соединение и сегодня в некоторых видах паст).
- Монофторфосфат натрия. Недостатком этого соединения является медленное высвобождение активного фтора. Процесс наступает лишь после трех минут чистки зубов. Длительное механическое воздействие не является полезным для эмали, поэтому паста с этим соединением, при соблюдении правил ухода за ротовой полостью, не имеет эффективности.
- Фторид натрия. Активный фтор высвобождается быстро, поэтому пасты с его содержанием оказывают хороший реминерализующий эффект.
- Аминофторид. Наиболее эффективное соединение, способствующее восстановлению эмали и образованию на ее поверхности защитной пленки. Даже после завершения чистки зубов ионы микроэлемента продолжают поступать в эмаль, тем самым укрепляя ее.
Выбирая пасту, отдавайте предпочтение средствам, содержащим фторид натрия или аминофторид.
Концентрация вещества играет не меньшую роль. На тюбиках пасты для зубов она указывается в процентах. Иногда вместо процентного содержания можно увидеть индекс «ppm», который отражает степень концентрации микроэлемента в средстве. 0,1% соответствует индексу 1000 ppm.
Чем концентрация выше, тем более выраженным восстанавливающим действием обладает паста. Профилактические пасты содержат от 950 до 1150 ppm. Эффективная борьба с кариесом возможна при содержании в составе от 1000 ppm фтора. Пасты для лечения содержат не менее 1350 ppm.
Профилактические пасты можно использовать всем, даже детям и беременным женщинам. При этом Европейская академия детской стоматологии установила допустимые нормы содержания микроэлемента в средстве: для детей в возрасте до 2 лет — не более 500 ppm, до 6 лет – 1000 ppm. Длительность использования зубной пасты определяет стоматолог с учетом состояния зубов, диеты, качества и количества употребляемой питьевой воды.
Фторирование зубов в домашних условиях
Домашнее фторирование дешевле стоматологического по понятным причинам. Поэтому существует множество доступных средств для проведения процедуры самостоятельно.
Многих интересует вопрос — можно ли наносить фторлак в домашних условиях?
Прежде всего, стоит отметить, что нанесение средства необходимо осуществлять под контролем лечащего врача.
Нужно знать! При нанесении слишком большого количества средства можно вызвать неблагоприятный эффект, а при попадании вещества внутрь организма, можно вызвать отравление. Также стоит аккуратно наносить вещество, не затрагивая мягкие ткани.
Последствия неправильного применения фторлака могут быть значительны, поэтому стоит подумать перед тем как прибегать к такой сомнительной экономии.
Последствия переизбытка фтора в организме
Не стоит забывать о том, что фтор – это, прежде всего, токсичное вещество. В зубные пасты оно добавляется только в виде соединений, которые могут выделять активные ионы. В пастах содержится фтористый натрий, монофосфат натрия, а также фториды олова и алюминия, и аминофторид.
Когда в организм взрослого человека фтор поступает в избыточном количестве, могут начаться следующие проблемы:
- нарушение обменных процессов и, как следствие, разрушение костей и зубов;
- сбои в работе эндокринной системы;
- заболевания печени и почек;
- повышение артериального давления;
- снижение иммунитета.
Удивительно, но в переводе с греческого языка слово фтор означает «разрушающий». Соединения фтора в газообразном состоянии являются смертельно опасными. А нередко добавляемые в зубные пасты флюориты считаются одними из самых вредоносных для организма веществ.
Если пользоваться пастой с фтором постоянно, без видимой необходимости, в полости рта могут произойти следующие изменения:
- повреждение эмали, появление пятен на ней;
- хрупкость зубов;
- повышенная чувствительность зубов.
Как выбрать фторсодержащую пасту
Если продукт безопасен, то почему бы не использовать его? На рынке подобных товаров представлен огромный выбор паст от различных производителей. Можно приобрести, как бюджетную продукцию, так и достаточно дорогую. От такого ассортимента невольно разбегаются глаза. Как же выбрать фторсодержащую пасту?
При покупке товара следует обращать внимание на ряд факторов:
Состав. Это основной показатель, от которого непосредственно зависит жизнь и здоровье человека. При выборе следует изучить состав продукта. Желательно, чтобы паста содержала фторид олова. Компонент применяется уже более полувека и хорошо себя зарекомендовал при проблемах ротовой полости, а также их профилактике. Ингредиент прошел многочисленные исследования, доказавшие его безопасность. Также можно найти пасту с фторидом натрия в составе. От ее приобретения лучше отказаться.
Количество фторида. Для детей до 4-х лет приобретаются пасты, в составе которых не более 200 ppm. Для ребенка 4-8 лет подойдет средство, в котором количество фторидов не превышает 500 ppm. По достижении восьмилетнего возраста можно использовать составы с содержанием компонента в формуле до 1400 ppm.
Дополнительные компоненты. Большинство производителей добавляют в состав растительные экстракты и прочие вещества, которые освежают полость рта, убивают болезнетворные микроорганизмы, а также обеспечивают приятный аромат на длительное время.
Производитель. При выборе зубной пасты предпочтение стоит отдавать продукции известных, проверенных временем компаний, которые имеют собственные лаборатории и внимательно следят за соблюдением мировых стандартов качества. От покупки товаров сомнительного производства и, как следствие, качества, лучше отказаться.
Подделки. Не так давно рынок заполонила низкосортная китайская продукция, по внешнему виду напоминающая товары известных брендов
В результате проведенного анализа выяснилось, что продукт содержит в составе токсическое вещество – диэтилен гликоль
Поэтому при выборе важно обращать внимание на страну-производителя.
Стоимость. Качественный продукт не может стоить слишком дешево
Чересчур низкая цена должна наталкивать на мысли о составе и безвредности товара
В лучшем случае такая паста не будет иметь никакого эффекта.
Вкусовые характеристики продукта при его выборе стоят на последнем месте. Они важны только для ребенка, который вряд ли согласится чистить зубы невкусной пастой. Для взрослого человека в большинстве случаев это не имеет принципиального значения.
Что такое фтор и какие свойства имеет?
Фтор – это химическое вещество, относящаяся к группе галогенов (символ F, атомный номер 9). Он является неметаллом и в чистом виде при нормальных условиях среды находится в газообразном состоянии, молекула состоит из двух атомов, пары имеют резкий запах и бледно-желтый цвет. Фтор отличатся тем, что является самым активным электроотрицательным веществом, при этом ядовитым, способным нанести химические ожоги при контакте с кожей человека. Фтор активно взаимодействует с другими химическими элементами, создавая новые вещества и соединения.

В чистом виде фтор опасен для человека, при взаимодействии с водой он образует фтористоводородную кислоту, проникающую сквозь ткани и разрушающую соединения кальция в костях. При этом фториды имеют ряд полезных и незаменимых для человека свойств, оберегающих его здоровье.




















































